Chez les femmes cela correspond à l’utérus, la vessie et les ovaires ainsi que la muqueuse utérine, aussi appelée l’endomètre. Chez l’homme, l’échographie pelvienne permet d’observer la vessie, la prostate et les glandes vésiculeuses. Cet examen peut être complété d’une échographie doppler, notamment s’il est.. Quand prendre le premier RDV de grossesse ? Quand faire les échographies de grossesse ? La première échographie de grossesse : celle du premier trimestre; L’échographie du deuxième trimestre; La dernière échographie de grossesse au 3 trimestre; Quand l’embryon est-il visible à l’échographie ? Comment se passe une échographie de.
FileEchographie pelvienne, aplio toshiba ssa 700 5 2004 02.JPG Wikimedia Commons

Troisième échographie de la grossesse

peuton faire une échographie pelvienne si on a ses règles Centre Dracénois d’Imagerie

échographie pelvienne par voie suspubienne utérus globuleux,… Download Scientific Diagram

Tout savoir sur l’échographie pelvienne déroulé et conseils Minimall

Monitorage échographique Infertilité Experts

Imagerie de l’enfant et prénatale Echographie de grossesse radiologie, échograhie, scanner

Quand faire une échographie pelvienne ? Sport, Mode, Beauté & lifestyle Magazine

Tout savoir sur l’échographie pelvienne Mamans Pratiques

Échographie à 8 semaines de gestation (20 photos) taille du fœtus et fréquence pelvienne, qui

L’examen, l’échographie pelvienne Photo Stock Alamy

Echographie quand fautil en faire, et pourquoi

L’échographie pelvienne quand y aton recours ?

échographie pendant la grossesse France

Échographie Pelvienne de contrôle de dispositifs intra utérins (stérilets) Céline Foinant

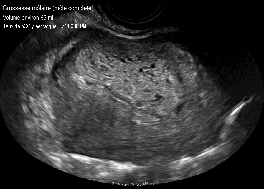
Grossesse môlaire (môle complète) Aspect échographique الحمل العداري أو الرحى العدارية

Anatomie échographique d’une grossesse de 7 SA et 4 jours

Echographie de grossesse de jumeaux d’échographie Sud Loire

Diagnostic précoce de grossesse βhCG et échographie pelvienne Faire le diagnostic

Tout savoir sur l’échographie pelvienne
Article mis à jour le 24/10/22 16:43. Partager sur. L’échographie pelvienne est un examen d’imagerie prescrit chez la femme durant une grossesse, si elle a des règles irrégulières ou encore en cas d’endométriose. Indications, déroulé, résultats et prix avec le Dr Anne Wautier, gynécologue. Sommaire.. Quand peut-on détecter une grossesse par échographie pelvienne ? Une grossesse est visible à l’échographie, par voie vaginale, vers 3 à 4 semaines d’aménorrhée, soit environ deux semaines de grossesse.